Dịch vụ điều trị tụt nướu răng (tụt lợi) là các kỹ thuật nha khoa nhằm loại bỏ nguyên nhân, ngăn chặn nướu tiếp tục tụt, và phục hồi mô nướu đã mất để bảo vệ chân răng. Tùy tình trạng, phương pháp bao gồm vệ sinh sâu (cạo vôi răng), trám cổ răng, phẫu thuật ghép nướu (lấy mô tự thân), hoặc kỹ thuật Pinhole.
Tại Đồng Nai, Nha Khoa Venus là đơn vị chuyên sâu trong việc khắc phục triệt để tình trạng này bằng công nghệ hiện đại, giúp bảo vệ răng thật tối đa.
Bài viết này được chia sẻ bởi đội ngũ chuyên gia tại Nha Khoa Venus nhằm giúp bạn hiểu rõ lộ trình điều trị và lựa chọn phương án phù hợp nhất cho sức khỏe răng miệng của mình. Nội dung được tham vấn chuyên môn bởi Bác sĩ Chu Thành Danh, Giám đốc chi nhánh Venus Long Thành, Đồng Nai với kinh nghiệm dày dặn trong lĩnh vực nha khoa thẩm mỹ.
Điều trị tụt nướu răng tại Đồng Nai ở đâu uy tín?
Nếu bạn đang gặp tình trạng răng dài ra bất thường hoặc ê buốt khi ăn đồ lạnh, rất có thể nướu của bạn đang bị tụt. Tại khu vực Long Thành và các vùng lân cận thuộc Đồng Nai, Nha Khoa Venus được biết đến là địa chỉ chuyên khoa uy tín trong việc xử lý các bệnh lý về nướu. Chúng tôi tập trung vào việc bảo tồn răng thật bằng các kỹ thuật ít xâm lấn nhưng mang lại hiệu quả bền vững.

Nha Khoa Venus sở hữu hệ thống trang thiết bị hiện đại ngay tại chi nhánh Long Thành. Điều này giúp khách hàng địa phương không cần phải di chuyển xa lên các thành phố lớn mà vẫn tiếp cận được công nghệ điều trị chuẩn y khoa. Sự kết hợp giữa máy móc tân tiến và đôi bàn tay khéo léo của các bác sĩ giàu kinh nghiệm giúp mỗi ca điều trị tụt nướu tại đây luôn đạt tỷ lệ hài lòng trên 95%.
Địa chỉ chi nhánh tại Long Thành tọa lạc tại 502 Lê Duẩn, Khu Cầu Xéo, Thị trấn Long Thành, Đồng Nai, có vị trí giao thông thuận tiện, giúp bạn dễ dàng sắp xếp lịch trình thăm khám. Chúng tôi hiểu rằng sự tin tưởng của khách hàng đến từ kết quả thực tế và sự minh bạch trong từng bước thực hiện. Vì vậy, Venus luôn cam kết đồng hành cùng bệnh nhân từ khâu tư vấn đầu tiên cho đến khi sức khỏe nướu hoàn toàn ổn định.
Bảng giá điều trị tụt nướu răng tại Venus chi nhánh Long Thành, Đồng Nai
| Dịch vụ điều trị | Đơn vị tính | Khoảng giá niêm yết (VNĐ) |
|---|---|---|
| Cạo vôi răng và đánh bóng chuyên sâu | 1 Ca | 100.000 – 300.000 |
| Điều trị viêm nướu cấp độ 1 | 1 Ca | 700.000 |
| Điều trị viêm nướu cấp độ 2 | 1 Ca | 850.000 |
| Trám mòn cổ răng thẩm mỹ | 1 Răng | 300.000 – 500.000 |
LƯU Ý: Mức giá trên đã bao gồm các bước kiểm tra và tư vấn ban đầu. Tùy thuộc vào số lượng răng bị tụt nướu và tình trạng mô xương ổ răng hiện tại, bác sĩ sẽ chỉ định giải pháp tối ưu nhất. Việc phát hiện và điều trị sớm ở các cấp độ nhẹ không chỉ giúp tiết kiệm chi phí lên đến 60% so với ca nặng mà còn giúp ngăn chặn nguy cơ mất răng vĩnh viễn.
Quy trình điều trị tụt nướu răng tại Nha khoa Venus
Để đảm bảo kết quả tốt nhất, Nha Khoa Venus áp dụng quy trình điều trị nghiêm ngặt. Mỗi bước đều được thực hiện dưới sự kiểm soát của bác sĩ chuyên khoa và sự hỗ trợ của máy móc công nghệ cao. Một ca điều trị thông thường có thể kéo dài từ 30 đến 60 phút tùy vào độ phức tạp.
Bước 1: Thăm khám và tư vấn điều trị tụt nướu răng
Bác sĩ sẽ bắt đầu bằng việc kiểm tra lâm sàng toàn bộ khoang miệng. Chúng tôi sử dụng máy chụp phim X-quang kỹ thuật số để đánh giá tình trạng xương ổ răng bên dưới. Phim chụp cho thấy rõ mức độ tiêu xương và độ rộng của túi nha chu nếu có.
Giai đoạn này mất khoảng 15 đến 20 phút. Bác sĩ đo độ sâu của nướu bị tụt bằng thước đo chuyên dụng để xác định chính xác cấp độ bệnh lý. Dựa trên dữ liệu hình ảnh, bạn sẽ nhận được một phác đồ điều trị chi tiết cùng giải thích rõ ràng về thời gian và kết quả mong đợi.

Bước 2: Vệ sinh răng miệng chuyên sâu
Sau khi thống nhất kế hoạch, bác sĩ tiến hành loại bỏ các tác nhân gây bệnh. Cao răng và mảng bám chứa hàng tỷ vi khuẩn là nguyên nhân chính khiến nướu bị viêm và co rút. Vậy nên chúng tôi sẽ sử dụng máy lấy cao răng siêu âm thế hệ mới với độ rung êm ái, giúp sạch sâu ngay cả dưới nướu mà không gây đau buốt.
Việc làm sạch môi trường khoang miệng là điều kiện bắt buộc trước khi can thiệp chuyên sâu. Quá trình này giúp giảm sưng viêm nhanh chóng, tạo nền tảng cho mô nướu phục hồi tốt hơn. Đối với các ca viêm nướu cấp độ hai, bác sĩ sẽ sử dụng thêm các dung dịch sát khuẩn chuyên dụng để triệt tiêu hoàn toàn vi khuẩn trú ngụ trong các túi lợi.
Bước 3: Tiến hành điều trị tụt nướu răng
Đây là bước quan trọng nhất trong lộ trình phục hồi nướu. Nếu tụt nướu ở mức độ nhẹ do mòn cổ răng, bác sĩ sẽ thực hiện trám bù bằng chất liệu Composite cao cấp. Vật liệu này có màu sắc tương đồng 99% với màu răng thật, giúp bảo vệ ngà răng và ngăn chặn sự tấn công của axit từ thực phẩm.
Trong trường hợp tụt nướu nặng làm lộ chân răng quá nhiều, giải pháp ghép nướu sẽ được triển khai. Bác sĩ sẽ lấy một phần mô liên kết nhỏ từ vòm miệng của chính bệnh nhân để ghép vào vùng nướu bị khuyết. Đây là kỹ thuật đỉnh cao giúp tái tạo lại độ dày và chiều cao của nướu một cách tự nhiên nhất. Tỷ lệ thành công của các ca ghép nướu tự thân tại Venus lên đến hơn 98%.

Bước 4: Kiểm tra và hướng dẫn chăm sóc sau khi điều trị tụt nướu răng
Sau khi hoàn tất can thiệp, bác sĩ sẽ kiểm tra lại độ ổn định của vùng điều trị. Đối với các ca trám, nướu sẽ được làm bóng để không tích tụ mảng bám mới. Đối với ca ghép nướu, bác sĩ sẽ cố định vết thương bằng chỉ khâu siêu mảnh.
Cuối cùng, khách hàng được hướng dẫn kỹ lưỡng về chế độ sinh hoạt. Bạn sẽ nhận được một bộ tài liệu nhỏ ghi nhớ các thực phẩm nên dùng và cách chải răng không gây tổn thương mô mềm. Chúng tôi luôn hẹn lịch tái khám định kỳ sau một tuần để đảm bảo quá trình lành thương diễn ra đúng như dự kiến.
3 phương pháp điều trị tụt nướu răng tại Nha Khoa Venus
1. Điều trị bằng phương pháp cạo vôi răng
Đây là phương án dành cho những người mới bắt đầu có dấu hiệu tụt nướu nhẹ. Khi các mảng bám vôi răng được loại bỏ hoàn toàn, áp lực lên mô nướu sẽ biến mất. Nướu không còn bị kích ứng bởi độc tố vi khuẩn sẽ dần trở nên hồng hào và săn chắc trở lại.
Phương pháp này đơn giản, nhanh chóng và có chi phí thấp nhất. Tại chi nhánh Long Thành, chúng tôi khuyến khích khách hàng nên thực hiện định kỳ 6 tháng một lần. Việc duy trì thói quen này có thể ngăn chặn đến 80% nguy cơ tụt nướu răng trong tương lai.

2. Khắc phục bằng kỹ thuật trám mòn cổ răng
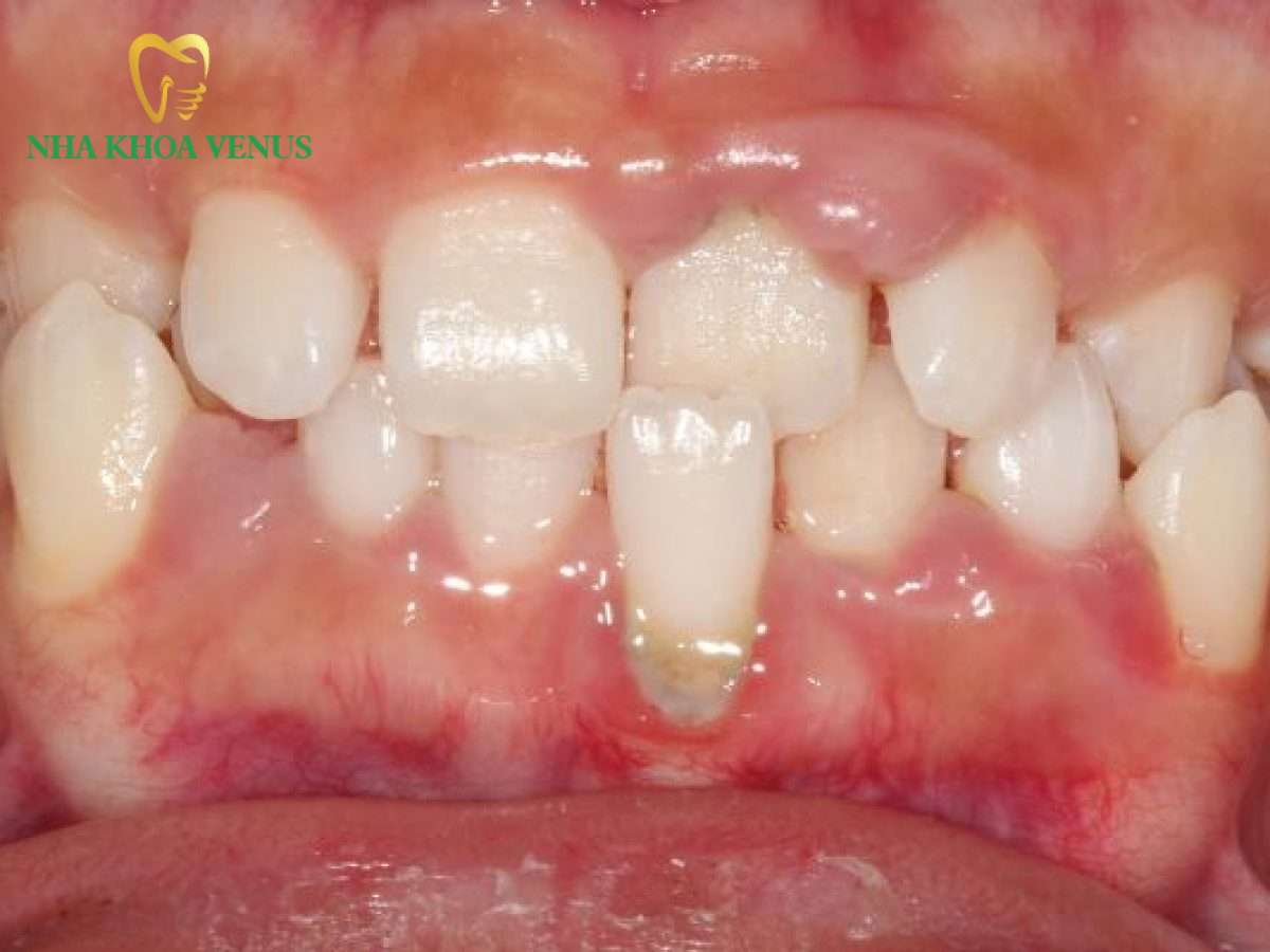
Mòn cổ răng là một dạng tổn thương thường đi kèm với tụt nướu, tạo thành các rãnh chữ V tại chân răng. Kỹ thuật trám mòn cổ răng tại Venus sử dụng vật liệu Composite có độ bám dính cực cao. Bác sĩ sẽ khéo léo tạo hình lớp trám sao cho che phủ kín phần chân răng bị lộ mà không gây cộm vướng khi ăn nhai.
Lớp trám này đóng vai trò như một lớp lá chắn bảo vệ. Nó ngăn chặn các dây thần kinh bên trong răng tiếp xúc trực tiếp với nhiệt độ bên ngoài, từ đó chấm dứt hoàn toàn cảm giác ê buốt. Thời gian thực hiện mỗi răng chỉ mất khoảng 10 đến 15 phút, mang lại hiệu quả tức thì ngay sau khi bước xuống ghế nha khoa.
3. Phẫu thuật ghép mô nướu che phủ chân răng
Đối với các trường hợp tụt nướu nghiêm trọng ảnh hưởng đến thẩm mỹ và có nguy cơ lung lay răng, phẫu thuật ghép nướu là cứu cánh duy nhất. Đây là một thủ thuật chuyên sâu đòi hỏi sự tinh tế và trình độ cao của bác sĩ. Kỹ thuật này giúp khôi phục lại đường viền nướu chuẩn, bảo vệ chân răng khỏi sự tấn công của sâu răng chân răng.
So sánh giữa các phương pháp điều trị tụt nướu hiện nay:
| Phương pháp điều trị | Mức độ tụt nướu | Mục tiêu chính | Thời gian lành thương | Tính thẩm mỹ |
|---|---|---|---|---|
| Cạo vôi răng | Rất nhẹ | Loại bỏ nguyên nhân gây bệnh | Ngay lập tức | Cải thiện màu sắc nướu |
| Trám mòn cổ răng | Nhẹ đến trung bình | Bảo vệ ngà răng | 1 ngày | Che phủ khuyết điểm răng |
| Ghép mô nướu | Nặng | Tái tạo mô nướu đã mất | 2 – 4 tuần | Khôi phục diện mạo nụ cười |
Nha sĩ phụ trách dịch vụ điều trị tụt nướu răng tại Venus chi nhánh Đồng Nai
Bác sĩ Chu Thành Danh
Bác sĩ Chu Thành Danh hiện đảm nhận vai trò Giám đốc chi nhánh Nha khoa Venus tại Long Thành, Đồng Nai. Tốt nghiệp từ ngôi trường danh giá là Đại học Y Dược TP. Hồ Chí Minh, bác sĩ đã có hơn 6 năm kinh nghiệm thực chiến trong lĩnh vực nha khoa thẩm mỹ và điều trị bệnh lý.
Mặc dù có thế mạnh về niềng răng với hơn 600 ca thành công mỗi năm, bác sĩ Danh còn là một chuyên gia về điều trị bảo tồn. Bác sĩ hiểu rõ mối liên hệ giữa nướu và sức khỏe của cả hàm răng. Trong các ca tụt nướu, bác sĩ luôn dành thời gian lắng nghe mong muốn của bệnh nhân và phân tích kỹ lưỡng từng giải pháp. Sự tỉ mỉ của bác sĩ Danh giúp khách hàng cảm thấy yên tâm và thoải mái nhất trong suốt quá trình điều trị.

Bác sĩ Đức Khang
Với hơn 15 năm làm việc trong ngành nha khoa, bác sĩ Đức Khang là một trong những bác sĩ gạo cội tại khu vực Long Thành. Bác sĩ sở hữu chứng nhận AAO từ Hiệp hội Niềng răng Mỹ và có chuyên môn sâu về phẫu thuật nướu cùng cấy ghép Implant.
Bác sĩ Đức Khang nổi tiếng với đôi bàn tay vàng và khả năng xử lý các ca tụt nướu nặng cần ghép mô phức tạp. Phương châm làm việc của bác sĩ là luôn đặt lợi ích lâu dài của khách hàng lên trên hết. Bác sĩ Khang đặc biệt chú trọng đến yếu tố không đau và hạn chế xâm lấn tối đa. Sự tận tụy và kinh nghiệm dày dặn của bác sĩ đã giúp hàng ngàn bệnh nhân tại Đồng Nai giữ lại được những chiếc răng tưởng chừng như phải nhổ bỏ.

Kết quả và đánh giá khách hàng sau khi điều trị tụt nướu răng tại Nha khoa Venus
Sự hài lòng của khách hàng là thước đo chính xác nhất cho chất lượng dịch vụ tại Venus. Nhiều bệnh nhân đến với chúng tôi trong tình trạng lo âu vì răng ê buốt đến mức không thể uống được nước lạnh. Sau khi kết thúc lộ trình điều trị, hầu hết đều cảm thấy bất ngờ vì sự cải thiện rõ rệt.
Kết quả dễ nhận thấy nhất là phần chân răng không còn bị hở hẹp, nướu bám chặt vào cổ răng tạo nên vẻ đẹp hài hòa. Không ít khách hàng đã chia sẻ rằng họ cảm thấy tự tin hơn rất nhiều khi giao tiếp, không còn phải che miệng khi cười vì sợ lộ răng dài. Đặc biệt, chức năng ăn nhai được khôi phục hoàn toàn, giúp họ tận hưởng cuộc sống trọn vẹn hơn.
Tại chi nhánh Long Thành, chúng tôi thường xuyên nhận được những lời cảm ơn và đánh giá 5 sao trên các nền tảng mạng xã hội. Khách hàng đánh giá cao sự sạch sẽ của phòng khám, sự chuyên nghiệp của nhân viên tư vấn và đặc biệt là chuyên môn của các bác sĩ. Những phản hồi này là động lực để Venus không ngừng cải tiến và mang lại dịch vụ tốt hơn mỗi ngày.

Cách chăm sóc răng miệng sau khi điều trị tụt nướu răng
Để kết quả điều trị bền vững và ngăn ngừa tụt nướu tái phát, việc chăm sóc tại nhà đóng vai trò quyết định. Nướu sau khi điều trị cần thời gian để ổn định hoàn toàn và tích hợp vào cấu trúc răng. Bạn nên tuân thủ các hướng dẫn dưới đây để bảo vệ sức khỏe răng miệng của mình một cách tốt nhất.
Sử dụng bàn chải lông siêu mềm là yêu cầu bắt buộc. Bạn nên thay đổi cách chải răng theo chuyển động tròn nhẹ nhàng hoặc chải theo chiều dọc từ nướu xuống răng. Tránh tuyệt đối việc chải răng theo chiều ngang với lực mạnh, vì đây chính là thói quen xấu khiến nướu bị mòn và rút về phía chóp răng.
Việc làm sạch kẽ răng bằng chỉ nha khoa hoặc máy tăm nước nên được thực hiện mỗi ngày một lần. Điều này giúp loại bỏ vụn thức ăn ở những nơi bàn chải không thể chạm tới, ngăn ngừa viêm nướu hiệu quả. Bạn cũng có thể kết hợp sử dụng nước súc miệng có chứa fluoride để tăng cường độ chắc khỏe cho men răng và làm dịu mô nướu.
Cuối cùng, hãy chú ý đến chế độ dinh dưỡng và thói quen sinh hoạt. Bổ sung các loại thực phẩm giàu vitamin C và Canxi để hỗ trợ nướu chắc khỏe từ bên trong. Quan trọng nhất, đừng quên lịch hẹn tái khám định kỳ 6 tháng một lần tại Nha Khoa Venus. Việc bác sĩ kiểm tra và lấy cao răng định kỳ là cách tốt nhất để đảm bảo tình trạng tụt nướu không bao giờ quay trở lại.
Câu hỏi thường gặp về dịch vụ chữa tụt nướu
Tụt nướu răng có tự mọc lại được không?
Mô nướu đã bị co rút không thể tự mọc lại theo cách tự nhiên. Bạn bắt buộc phải can thiệp bằng các biện pháp nha khoa như trám mòn cổ răng hoặc ghép mô nướu để phục hồi diện mạo nụ cười ban đầu.
Chữa tụt nướu răng có đau không?
Quá trình điều trị tại Nha Khoa Venus hoàn toàn không đau nhờ sự hỗ trợ của thuốc tê cục bộ hiện đại và kỹ thuật tay nghề cao của bác sĩ. Sau khi hết thuốc tê, bạn chỉ có cảm giác hơi tê nhẹ vùng nướu và tình trạng này sẽ biến mất hoàn toàn sau vài giờ.
Thời gian điều trị tụt nướu mất bao lâu?
Một ca điều trị thông thường kéo dài từ 30 đến 90 phút tùy thuộc vào số lượng răng và mức độ tụt nướu. Các ca nhẹ như cạo vôi răng chỉ mất 30 phút, trong khi các thủ thuật phức tạp hơn sẽ cần nhiều thời gian chuẩn bị và thực hiện kỹ lưỡng hơn.
Tụt nướu răng có gây mất răng vĩnh viễn không?
Có, nếu không được điều trị kịp thời, tình trạng tụt nướu sẽ làm lộ chân răng và dẫn đến tiêu xương ổ răng. Khi răng mất đi bệ đỡ vững chắc, chúng sẽ bắt đầu lung lay và cuối cùng là rụng răng hoàn toàn.
Làm sao để phòng ngừa tụt nướu răng tái phát?
Bạn cần duy trì thói quen vệ sinh răng miệng đúng cách bằng bàn chải lông mềm, kết hợp chỉ nha khoa và nước súc miệng định kỳ. Quan trọng nhất là hãy đến nha khoa lấy cao răng 6 tháng một lần để loại bỏ các tác nhân gây viêm nhiễm mô nướu.



