Điều trị viêm nha chu tại nha khoa bao gồm làm sạch sâu (cạo vôi răng, bào láng gốc răng) ở giai đoạn nhẹ, dùng thuốc kháng sinh, sát khuẩn, và can thiệp phẫu thuật như nạo túi nha chu, ghép mô/xương, hoặc tái tạo mô khi bệnh nặng, nhằm loại bỏ vi khuẩn, ngăn ngừa tiêu xương và bảo tồn răng, kết hợp chăm sóc tại nhà và tái khám định kỳ.
Nếu bạn đang sống ở khu vực Long Thành, Đồng Nai; đang bị viêm nha chu và đang tìm kiếm 1 địa chỉ nha khoa uy tín để điều trị viêm nha chu, viêm nứu thì có thể tham khảo dịch vụ điều trị viêm nha chu tại Long Thành, Đồng Nai tại Nha Khoa Venus nhé.
Viêm nha chu là bệnh gì?
Viêm nha chu là bệnh nhiễm trùng nướu nghiêm trọng, phá hủy mô mềm và xương nâng đỡ răng, thường do vệ sinh răng miệng kém dẫn đến tích tụ mảng bám vi khuẩn, có thể gây sưng, chảy máu nướu, hôi miệng, răng lung lay và dẫn đến mất răng nếu không điều trị kịp thời, nói chung là một bệnh phổ biến nhưng có thể phòng ngừa được.

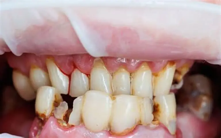
Dấu hiệu nhận biết viêm nha chu từ nhẹ đến nặng
Chảy máu chân răng và nướu sưng đỏ thường xuyên
Chảy máu chân răng thường xuyên là bệnh gì? Đây chính là biểu hiện đầu tiên cảnh báo nướu đang bị vi khuẩn tấn công. Nướu của bạn sẽ chuyển từ màu hồng nhạt sang đỏ thẫm và sưng tấy. Nha Khoa Venus khuyên bạn nên đi khám ngay nếu tình trạng chảy máu kéo dài trên 3 ngày.
Tình trạng hôi miệng dai dẳng gây mất tự tin trong giao tiếp
Vi khuẩn trú ngụ trong các mảng bám giải phóng mùi hôi khó chịu. Dù bạn đánh răng nhiều lần, hơi thở có mùi vẫn không thuyên giảm. Tìm đến địa chỉ nha khoa trị hôi miệng Long Thành uy tín sẽ giúp bạn xử lý tận gốc ổ vi khuẩn này.
Nướu bị tụt làm lộ chân răng và cảm giác răng dài ra
Tình trạng tụt lợi xảy ra khi mô nướu dần tách khỏi chân răng. Bạn sẽ thấy răng mình trông dài hơn bình thường và trở nên nhạy cảm với nhiệt độ. Đây là dấu hiệu cho thấy các mô nâng đỡ đang bị tổn thương nghiêm trọng.
Xuất hiện các túi mủ giữa răng và nướu
Túi mủ nướu hình thành khi nhiễm trùng lan sâu xuống dưới lợi. Khi bạn ấn nhẹ vào nướu, dịch mủ có thể thoát ra kèm theo cảm giác đau nhức. Đây là dấu hiệu viêm nha chu nặng và cách chữa trị cần được thực hiện bởi bác sĩ chuyên khoa ngay lập tức.
Răng lung lay và cảm giác đau nhức khi ăn nhai
Khi xương ổ răng bị tiêu hủy, răng không còn điểm tựa vững chắc. Cách chữa răng lung lay do viêm nha chu tại nhà có hiệu quả không? Câu trả lời chắc chắn là không. Bạn cần sự can thiệp từ bác sĩ chữa nha chu giỏi ở Đồng Nai để tránh nguy cơ rụng răng sớm.
Những nguyên nhân phổ biến gây ra bệnh viêm nha chu
Mảng bám và cao răng tích tụ do vệ sinh răng miệng kém
Thức ăn thừa không được làm sạch sẽ tạo thành mảng bám cứng đầu. Sau 48 giờ, chúng khoáng hóa thành vôi răng (cao răng) bám chặt vào cổ răng. Đây là “ổ bám” lý tưởng để vi khuẩn sinh sôi và phá hủy mô nướu.
Tác hại của thuốc lá đối với sức khỏe nướu và mô quanh răng
Chất độc trong thuốc lá làm giảm lưu lượng máu đến nướu và cản trở quá trình lành thương. Người hút thuốc có nguy cơ mắc bệnh cao gấp 3 lần so với người không hút. Điều này khiến việc điều trị viêm nha chu tại Long Thành uy tín gặp nhiều thách thức hơn.

Ảnh hưởng từ các bệnh lý toàn thân như tiểu đường và tim mạch
Bệnh tiểu đường làm giảm khả năng đề kháng của cơ thể đối với vi khuẩn nha chu. Ngược lại, viêm răng cũng khiến việc kiểm soát đường huyết trở nên khó khăn. Mối liên hệ này đã được Hiệp hội Nha khoa Việt Nam nghiên cứu và cảnh báo rộng rãi.
Thay đổi nội tiết tố ở phụ nữ mang thai hoặc sau khi sinh
Sự thay đổi hormone khiến nướu trở nên nhạy cảm và dễ bị sưng nướu răng. Phụ nữ mang thai thường gặp tình trạng viêm nướu thai kỳ vào tháng thứ 2 đến tháng thứ 8. Nha Khoa Venus khuyến cáo thai phụ nên lấy cao răng định kỳ để bảo vệ sức khỏe mẹ và bé.
Tác dụng phụ của một số loại thuốc làm giảm tiết nước bọt
Một số loại thuốc điều trị huyết áp hoặc an thần gây ra tình trạng khô miệng. Khi thiếu nước bọt, môi trường miệng mất khả năng tự làm sạch tự nhiên. Điều này tạo điều kiện thuận lợi cho vi khuẩn nha chu tấn công nhanh chóng.
Biến chứng nguy hiểm nếu không điều trị viêm nha chu kịp thời
Nguy cơ mất răng vĩnh viễn và tiêu xương hàm trầm trọng
Tiêu xương răng là hậu quả trực tiếp khi vi khuẩn phá hủy xương ổ răng. Khi xương không còn đủ chiều cao, răng sẽ rụng tự nhiên. Lúc này, việc bảo tồn răng thật trở nên bất khả thi dù áp dụng công nghệ hiện đại.
Ảnh hưởng đến sức khỏe toàn thân và hệ miễn dịch
Vi khuẩn từ các túi nha chu có thể xâm nhập vào dòng máu và di chuyển đến tim, phổi. Điều này làm tăng nguy cơ mắc các bệnh nhiễm trùng nội tâm mạc hoặc viêm phổi cấp tính. Hệ miễn dịch của bạn phải làm việc quá tải để chống lại sự nhiễm trùng dai dẳng này.

Tăng rủi ro sinh non và bé nhẹ cân ở phụ nữ mang thai
Nhiễm trùng nha chu ở mẹ bầu có thể kích thích sản sinh các chất gây chuyển dạ sớm. Điều này dẫn đến nguy cơ sinh non hoặc trẻ sinh ra bị nhẹ cân. Việc điều trị nướu kịp thời là cách bảo vệ thai kỳ an toàn mà các bác sĩ luôn khuyến cáo.
Tác động tiêu cực đến chức năng ăn nhai và hệ tiêu hóa
Răng đau nhức khiến bạn không thể ăn uống ngon miệng và nhai kỹ thức ăn. Thức ăn chưa được nghiền nhỏ gây áp lực lớn cho dạ dày, dẫn đến các bệnh về tiêu hóa. Phục hồi chức năng ăn nhai tại Nha Khoa Venus sẽ giúp bạn cải thiện chất lượng cuộc sống toàn diện.
Quy trình điều trị viêm nha chu chuẩn y khoa tại Nha khoa Venus Long Thành
Bước 1: Thăm khám chuyên sâu và chụp phim CT Cone Beam đánh giá mức độ tiêu xương
Bác sĩ Danh sẽ kiểm tra trực tiếp tình trạng sưng nướu răng và túi mủ. Bạn được chụp phim X-quang CT Cone Beam để quan sát cấu trúc 3D của xương hàm. Công nghệ này giúp bác sĩ xác định chính xác mức độ tiêu xương răng mà mắt thường không thấy được.
Đây là bước quan trọng để biết viêm nha chu có chữa dứt điểm được không. Từ dữ liệu hình ảnh, bác sĩ sẽ lập phác đồ điều trị riêng biệt cho từng người.
Bước 2: Giai đoạn điều trị khẩn cấp cho các trường hợp có ổ áp xe
Nếu nướu có ổ mủ lớn hoặc gây đau nhức dữ dội, bác sĩ sẽ xử lý khẩn cấp. Mục tiêu là loại bỏ túi mủ nướu để giảm áp lực và ngăn chặn nhiễm trùng lan rộng. Bác sĩ có thể chỉ định kháng sinh điều trị viêm răng trong 3 đến 5 ngày đầu.
Bước này giúp bệnh nhân nhanh chóng ổn định sức khỏe trước khi thực hiện các bước chuyên sâu. Đây là lý do Nha khoa Venus được đánh giá là địa chỉ nha khoa trị hôi miệng Long Thành uy tín.

Bước 3: Phương pháp điều trị không phẫu thuật bằng máy siêu âm Piezotome
Nha khoa Venus sử dụng máy lấy cao răng siêu âm Piezotome hiện đại. Sóng siêu âm giúp bóc tách mảng bám và vôi răng (cao răng) nhẹ nhàng. Công nghệ này không gây tổn thương mô mềm và hạn chế chảy máu tối đa.
Lấy cao răng điều trị viêm nướu Long Thành bằng Piezotome là lựa chọn ưu tiên cho giai đoạn đầu. Bạn sẽ cảm thấy thoải mái và không còn nỗi lo đau buốt khi thực hiện.
Bước 4: Kỹ thuật xử lý mặt gốc răng và nạo túi nha chu chuyên sâu
Bác sĩ sử dụng thiết bị nội soi nha chu để làm sạch vi khuẩn sâu dưới nướu. Kỹ thuật nạo túi nha chu giúp loại bỏ các mô viêm nhiễm và làm láng mặt chân răng. Việc này giúp nướu săn chắc và bám sát vào chân răng trở lại.
Đây là quy trình điều trị túi nha chu sâu không đau giúp ngăn chặn tình trạng tụt lợi. Phục hồi chức năng ăn nhai là mục tiêu hàng đầu của bước điều trị này.
Bước 5: Phẫu thuật lật vạt và ghép xương cho các trường hợp viêm nha chu nặng
Với trường hợp tiêu xương răng nghiêm trọng, bác sĩ Danh sẽ tiến hành phẫu thuật lật vạt. Bác sĩ bóc tách mô nướu để làm sạch sâu tận gốc các ổ vi khuẩn. Nếu xương ổ răng bị phá hủy nhiều, kỹ thuật ghép xương sẽ được áp dụng.
Phương pháp này giúp cố định răng lung lay và tái tạo cấu trúc nâng đỡ răng. Đây là cách chữa trị tối ưu giúp bạn tránh khỏi nguy cơ mất răng vĩnh viễn.

Bước 6: Điều trị tủy đi kèm trong trường hợp biến chứng nhiễm trùng
Nếu vi khuẩn xâm nhập vào tủy răng gây viêm tủy, bác sĩ sẽ thực hiện lấy tủy. Việc điều trị tủy giúp loại bỏ hoàn toàn nguồn lây nhiễm bên trong răng. Nha khoa Venus sử dụng máy định vị chóp giúp quá trình này diễn ra chính xác và nhanh chóng.
Sau khi điều trị, răng được trám kín hoặc bọc sứ để bảo vệ. Bước này đảm bảo sức khỏe răng miệng của bạn được phục hồi toàn diện.
Bước 7: Hướng dẫn chăm sóc và duy trì kết quả sau điều trị
Sau khi hoàn tất, bác sĩ hướng dẫn bạn cách vệ sinh nha khoa tại nhà hiệu quả. Bạn nên sử dụng chỉ nha khoa và máy tăm nước mỗi ngày. Bác sĩ Danh khuyến cáo bạn nên tái khám định kỳ mỗi 6 tháng để kiểm tra tình trạng nướu.
Việc này giúp phát hiện sớm các dấu hiệu viêm nha chu nặng để xử lý kịp thời. Nha khoa Venus luôn đồng hành cùng bạn để duy trì hơi thở thơm mát bền lâu.
Bảng giá dịch vụ điều trị viêm nha chu tại Long Thành năm 2026
| Dịch vụ | Đơn vị | Khoảng giá (VNĐ) |
|---|---|---|
| Cạo vôi và đánh bóng | 1 Ca | 100.000 – 300.000 |
| Điều trị viêm nướu cấp độ 1 | 1 Ca | 700,000 |
| Điều trị viêm nướu cấp độ 2 | 1 Ca | 850,000 |
Nha sĩ phụ trách dịch vụ niềng răng tại Venus Long Thành
Bác sĩ Chu Thành Danh – Giám đốc chi nhánh Venus Long Thành
Với hơn 6 năm kinh nghiệm, bác sĩ Chu Thành Danh là gương mặt uy tín trong các dịch vụ niềng răng Long Thành Đồng Nai.
Tốt nghiệp từ Đại học Y Dược TP. Hồ Chí Minh, bác sĩ không ngừng cập nhật các kỹ thuật niềng răng tiên tiến như Invisalign và các loại mắc cài (kim loại, sứ) để phù hợp với nhu cầu đa dạng của khách hàng.
Mỗi năm, bác sĩ thực hiện thành công hơn 600 ca niềng răng và cải thiện nụ cười của hàng trăm bệnh nhân.
Hiện Bác sĩ Danh đang là chuyên gia bọc răng sứ thẩm mỹ, đồng thời là Giám đốc chi nhánh tại Nha khoa Venus, cơ sở Long Thành, Đồng Nai.

Bác sĩ Đức Khang – Chuyên gia chỉnh nha thẩm mỹ và cấy ghép implant
Với hơn 15 năm kinh nghiệm, bác sĩ Đức Khang đã trở thành một bác sĩ niềng răng giỏi tại Long Thành với chuyên môn sâu rộng, đặc biệt là niềng răng không đau và các dịch vụ thẩm mỹ nha khoa.
Bác sĩ Đức Khang có chứng nhận AAO của Hiệp hội Niềng răng Mỹ và chứng chỉ chuyên khoa Răng Hàm Mặt, đảm bảo mang đến dịch vụ niềng răng uy tín tại Long Thành. Bác sĩ Đức Khang đặc biệt tận tâm và kỹ lưỡng, luôn tạo cảm giác thoải mái cho bệnh nhân trong suốt quá trình điều trị.

Tại sao khách hàng tin tưởng điều trị nha chu tại Nha khoa Venus
Đội ngũ bác sĩ chuyên khoa giàu kinh nghiệm và tận tâm
Đội ngũ nhân sự tại đây đều là những bác sĩ chữa nha chu giỏi ở Đồng Nai. Tiêu biểu là Bác sĩ Chu Thành Danh với hơn 6 năm kinh nghiệm trong ngành Răng Hàm Mặt.
Các bác sĩ luôn lắng nghe kỹ lưỡng các dấu hiệu viêm nha chu nặng từ bệnh nhân để đưa ra giải pháp tối ưu. Sự tận tâm này giúp quá trình chẩn đoán chính xác và đạt hiệu quả cao nhất.
Bạn sẽ được giải đáp thắc mắc viêm nha chu có chữa dứt điểm được không một cách khoa học và trung thực.
Hệ thống trang thiết bị hiện đại và công nghệ điều trị không đau
Nha Khoa Venus đầu tư mạnh vào công nghệ để tối ưu trải nghiệm khách hàng. Chúng tôi sử dụng Phim X-quang CT Cone Beam để tầm soát tiêu xương răng chính xác đến từng milimet.
Quy trình điều trị túi nha chu sâu không đau được hỗ trợ bởi Máy lấy cao răng siêu âm (Piezotome). Máy siêu âm lấy cao răng này tác động nhẹ nhàng để loại bỏ mảng bám mà không gây ê buốt nướu.
Công nghệ hiện đại giúp rút ngắn thời gian điều trị xuống còn 2 đến 3 buổi hẹn tùy mức độ bệnh.

Quy trình vô trùng tuyệt đối theo tiêu chuẩn của Bộ Y tế
Sức khỏe răng miệng và sự an toàn của bệnh nhân là ưu tiên hàng đầu tại Nha Khoa Venus. Chúng tôi tuân thủ nghiêm ngặt quy trình vệ sinh nha khoa của Bộ Y tế và Hiệp hội Nha khoa Việt Nam.
Mỗi khách hàng được sử dụng 1 bộ dụng cụ riêng biệt đã qua lò hấp vô trùng ở nhiệt độ cao. Điều này loại bỏ hoàn toàn nguy cơ lây nhiễm chéo trong quá trình nạo túi nha chu hoặc can thiệp sâu.
Bạn có thể hoàn toàn yên tâm khi thực hiện các kỹ thuật điều trị tại phòng khám của chúng tôi.
Vị trí thuận tiện tại khu vực Long Thành và chính sách bảo hành rõ ràng
Phòng khám nằm tại trung tâm Thị trấn Long Thành, gần Chợ mới Long Thành, rất thuận tiện cho việc di chuyển. Bảng giá chữa viêm nha chu Long Thành tại Nha Khoa Venus luôn được niêm yết minh bạch và cạnh tranh.
Chúng tôi cung cấp chính sách bảo hành rõ ràng cho các dịch vụ từ lấy cao răng điều trị viêm nướu Long Thành đến phẫu thuật ghép xương. Sự minh bạch về tài chính giúp khách hàng chủ động hơn trong việc chăm sóc sức khỏe bản thân. Đây chính là địa chỉ nha khoa trị hôi miệng Long Thành đáng tin cậy cho mọi nhà.
Phản hồi thực tế từ những khách hàng đã điều trị thành công
Hơn 1.000 khách hàng tại Đồng Nai đã lấy lại sự tự tin sau khi điều trị tại Nha Khoa Venus. Anh Hoàng, một khách hàng 45 tuổi tại Long Thành, chia sẻ từng bị chảy máu chân răng thường xuyên và hơi thở có mùi nặng.
Sau 2 tuần điều trị theo phác đồ của bác sĩ Danh, tình trạng sưng nướu răng của anh đã biến mất. Anh cảm thấy ăn ngon miệng hơn nhờ việc phục hồi chức năng ăn nhai và cố định răng lung lay hiệu quả. Những câu chuyện thành công thực tế này là minh chứng rõ nhất cho chất lượng dịch vụ của chúng tôi.
Các loại thuốc thường được chỉ định trong điều trị viêm nha chu
Nhóm thuốc kháng sinh hỗ trợ tiêu diệt vi khuẩn tận gốc
Bác sĩ chuyên khoa nha chu thường chỉ định kháng sinh điều trị viêm răng để tiêu diệt vi khuẩn trú ngụ sâu trong túi mủ nướu. Các loại thuốc phổ biến như Metronidazole hoặc Amoxicillin giúp ngăn chặn vi khuẩn tấn công mô nướu.
Thông thường, bạn cần sử dụng thuốc liên tục từ 5 đến 7 ngày để đạt hiệu quả tối ưu. Kháng sinh đóng vai trò quan trọng trong việc bảo tồn răng thật và ngăn chặn tình trạng sưng nướu răng tiến triển nặng.
Đây là yếu tố then chốt giúp giải đáp thắc mắc viêm nha chu có chữa dứt điểm được không của nhiều bệnh nhân.
Các loại gel bôi giảm viêm và sát khuẩn tại chỗ
Ngoài thuốc uống, các loại gel bôi tại chỗ giúp giảm đau và sát khuẩn nhanh chóng. Các sản phẩm như Metrogyl Denta hoặc PerioKin thường được bác sĩ tại địa chỉ nha khoa trị hôi miệng Long Thành tin dùng.
Bạn nên bôi gel trực tiếp vào vùng nướu bị tổn thương hoặc vị trí tụt lợi sau khi vệ sinh nha khoa sạch sẽ. Sử dụng gel đều đặn 2 lần mỗi ngày giúp làm dịu mô mềm và giảm hôi miệng hiệu quả.
Đây là bước hỗ trợ tuyệt vời sau khi bạn thực hiện lấy cao răng điều trị viêm nướu Long Thành tại Venus.
Lưu ý quan trọng khi sử dụng thuốc theo chỉ định của bác sĩ
Bạn tuyệt đối không nên tự ý tìm cách chữa răng lung lay do viêm nha chu tại nhà có hiệu quả không qua các loại thuốc chưa rõ nguồn gốc. Việc tự ý dùng thuốc không theo đơn có thể dẫn đến tình trạng kháng kháng sinh nguy hiểm.
Nếu bạn đang gặp dấu hiệu chảy máu chân răng thường xuyên là bệnh gì, hãy đến ngay Nha Khoa Venus tại Thị trấn Long Thành để khám.
Bác sĩ chữa nha chu giỏi ở Đồng Nai sẽ theo dõi sát sao phản ứng của cơ thể bạn với thuốc trong suốt 1 tuần điều trị. Việc tuân thủ đúng liều lượng giúp cố định răng lung lay và phục hồi chức năng ăn nhai sớm nhất. Hãy đảm bảo uống thuốc đúng giờ và không tự ý ngắt quãng liệu trình để bảo vệ nụ cười của mình.



